Publications

Here you find a list of our selected current publications. You can find all publications here.

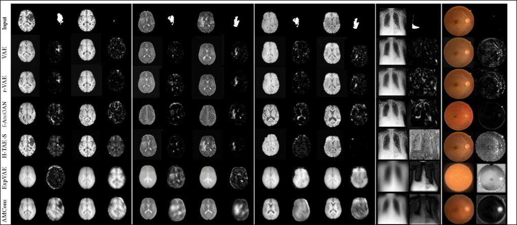
  • C. I. Bercea, B. Wiestler, D. Rueckert and J. A. Schnabel
    Evaluating Normative Representation Learning in Generative AI for Robust Anomaly Detection in Brain Imaging
    Nature Communications, 16(1), 1624 (2025)
    DOI: https://doi.org/10.1038/s41467-025-56321-y 
  • R.Holland, O. Leingang, H. Bogunović, S. Riedl, L. Fritsche, T. Prevost, H.P.N. Scholl, U. Schmidt-Erfurth, S. Sivaprasad, A.J. Lotery, D. Rueckert and M.J. Menten
    Metadata-enhanced contrastive learning from retinal optical coherence tomography images
    Medical Image Analysis, 97, 103296 (2024)
    DOI: https://doi.org/10.1016/j.media.2024.103296 
  • A. Ziller, T. T. Mueller, S. Stieger, L. F. Feiner, J. Brandt, R. Braren, D. Rueckert and G. Kaissis
    Reconciling privacy and accuracy in AI for medical imaging
    Nature Machine Intelligence, 6(7), 764-774 (2024)
    DOI: https://doi.org/10.1038/s42256-024-00858-y 
  • P. Hager, F. Jungmann, K. Bhagat, I. Hubrecht, M. Knauer, J. Vielhauer, R. Braren, M. Makowski, G. Kaisis and D. Rueckert
    Evaluating and mitigating limitations of large language models in clinical decision making
    Nature Medicine 30, 2613–2622 (2024) 
    DOI: https://doi.org/10.1038/s41591-024-03097-1 
  • I. Lagogiannis, F. Meissen, G. Kaissis and D. Rueckert
    Unsupervised Pathology Detection: A Deep Dive Into the State of the Art
    IEEE transactions on medical imaging, 43(1): 241-252 (2024)
    DOI: https://doi.org/10.1109/tmi.2023.3298093
  • R. Raab, A. Küderle, A. Zakreuskaya, A. D. Stern, J. Klucken, G. Kaissis, D. Rueckert, S. Boll, R. Eils, H. Wagener and B. M. Eskofier 
    Federated electronic health records for the European Health
    Lancet Digital Health, 5: e840–47 (2023)
    DOI: https://doi.org/10.1016/s2589-7500%2823%2900156-5 
  • E. Al-jibury, J. W. D. King, Y. Guo, B. Lenhard, A. G. Fisher, M. Merkenschlager and D. Rueckert
    A deep learning method for replicate-based analysis of chromosome conformation contacts using Siamese neural networks
    Nature Communications 14(5007) (2023)
    DOI: https://doi.org/10.1038/s41467-023-40547-9 
  • T. Tanida, P. Müller, G. Kaissis and D. Rueckert
    Interactive and Explainable Region-guided Radiology Report Generation
    IEEE Conference on Computer Vision and Pattern Recognition (CVPR), 7433-7442 (2023). 
    DOI: https://doi.org/10.1109/cvpr52729.2023.00718 
  •  Q. Meng, W. Bai, D. P. O’Regan and D. Rueckert
    DeepMesh: Mesh-based Cardiac Motion Tracking using Deep Learning
    IEEE transactions on medical imaging, 43(4): 1489-1500 (2024)
    DOI: https://doi.org/10.1109/TMI.2023.3340118 
  • A. Marcus, P. Bentley and D. Rueckert
    Concurrent ischemic lesion age estimation and segmentation of CT brain using a Transformer-based network
    IEEE Transactions on Medical Imaging, 42(12):3464-3473 (2023)
    DOI: https://doi.org/10.1109/TMI.2023.3287361 
  • W. Huang, H. B. Li, J. Pan, G. Cruz, D. Rueckert and K. Hammernik
    Neural Implicit k-Space for Binning-Free Non-Cartesian Cardiac MR Imaging
    Information Processing in Medical Imaging (IPMI), 548-560, 2023
    DOI: https://doi.org/10.1007/978-3-031-34048-2_42 
  • P. Hager, M. J. Menten and D. Rueckert
    Best of Both Worlds: Multimodal Contrastive Learning With Tabular and Imaging Data
    IEEE Conference on Computer Vision and Pattern Recognition (CVPR), 23924-23935, 2023. 
    DOI: https://doi.org/10.48550/arXiv.2303.14080 
  • C. Ouyang, C. Chen, S. Li, Z. Li, C. Qin, W. Bai and D. Rueckert
    Causality-inspired Single-source Domain Generalization for Medical Image Segmentation
    IEEE Transactions on Medical Imaging, 42(4):1095-1106 (2023)
    DOI: https://doi.org/10.1109/TMI.2022.3224067 
  • C. Chen, C. Qin, C. Ouyang, Z. Li, S. Wang, H. Qiu, L. Chen, G. Tarroni, W. Bai and D. Rueckert
    Enhancing MR image segmentation with realistic adversarial data augmentation
    Medical Image Analysis, 82 (2022)
    DOI: https://doi.org/10.1016/j.media.2022.102597 
  • C. Qin, S. Wang, C. Chen, W. Bai and D. Rueckert
    Generative myocardial motion tracking via latent space exploration with biomechanics-informed prior
    Medical Image Analysis, 83 (2023)
    DOI: https://doi.org/10.1016/j.media.2022.102682 
  • C. Ouyang, C. Biffi, C. Chen, T. Kart, H. Qiu and D. Rueckert
    Self-supervised Learning for Few-shot Medical Image Segmentation
    IEEE Transactions on Medical Imaging, 41(7):1837-1848 (2022)
    DOI: https://doi.org/10.1109/TMI.2022.3150682 
  • T. T. Mueller, J. C. Paetzold, C. Prabhakar, D. Usynin, D. Rueckert and G. Kaissis
    Private Graph Neural Networks for Whole-Graph Classification
    IEEE transactions on medical imaging, 43(4): 1489-1500 (2022)
    DOI: https://doi.org/10.1109/TPAMI.2022.3228315 
  • D. Usynin, A. Ziller, M. Makowski, R. Braren, D. Rueckert, B. Glocker and G. Kaissis
    Adversarial interference and its mitigations in privacy-preserving collaborative machine learning
    Nature Machine Intelligence (3), 749–758 (2021)
    DOI: https://doi.org/10.1038/s42256-021-00390-3 
  • Q. Dou, T. Y. So, M. Jiang, Q. Liu, V. Vardhanabhuti, G. Kaissis, Z. Li, W. Si, H. H. C. Lee, K. Yu, Z. Feng, L. Dong, E. Burian, F. Jungmann, R. Braren, M. Makowski, B. Kainz, D. Rueckert, B. Glocker, S. C. H. Yu and P. A. Heng
    Federated deep learning for detecting COVID-19 lung abnormalities in CT: A privacy-preserving multinational validation study
    NPJ Digital Medicine 60(4)  (2021)
    DOI: https://doi.org/10.1038/s41746-021-00431-6